Estratégias para redução de diarreia pós-desmame em leitões

A diarreia pós-desmame (do inglês, Post-Weaning Diarrhea ou PWD) é uma das maiores fontes de perdas econômicas na produção suína em todo o mundo. Frequentemente observamos cenários de um desmame precoce de leitões, o que gera uma alteração na morfologia intestinal e prejudicam a função da barreira intestinal, resultando em PWD, desidratação, crescimento retardado e aumento da mortalidade taxas. A diarreia pós-desmame em leitões está intimamente associada a alterações na composição e nos níveis de nutrientes das dietas, e é acompanhada por alterações ambientais, psicológicas e microbiológicas.
De acordo com Tang et al. (2024), essas alterações costumam atrapalhar as funções digestivas e intestinais dos leitões, em especial em desmames com idades inferiores a 24 dias de leitegadas hiper prolíficas, pois os leitões não conseguem digerir bem os alimentos sólidos devido à secreção insuficiente de enzimas digestivas na função incompleta do trato gastrointestinal, o que leva a danos na função da barreira intestinal, incluindo a ruptura das tight junction, o que acaba por elevar a permeabilidade intestinal.
Além disso, o stress pós-desmame provoca frequentemente uma baixa função imunitária nos leitões e torna o intestino susceptível ao ataque de agentes patogénicos como a Escherichia coli enterotoxigênica (ou ETEC), entre outros patógenos. É difícil para o leitão processar dinamicamente grandes quantidades de fluido no lúmen intestinal de maneira organizada quando é desafiado por múltiplos estresses.
Em algumas criações suinícolas de grande escala, a incidência de diarreia em leitões chega a 50% e a taxa de mortalidade pode ser de 15% a 20%. Nas últimas décadas, antibióticos promotores de crescimento e altas doses de óxido de zinco e sulfato de cobre têm sido amplamente utilizados em dietas de leitões para controlar a incidência de diarreia durante a transição do desmame. No entanto, esta adição de aditivos (em especial antibióticos e óxido de zinco) tem sido desafiada por problemas de resistência bacteriana e tem enfrentado uso restrito em todo o mundo para redução de uso, ou mesmo sua eliminação (Pilote et al., 2019).
Desta forma existe atualmente uma busca para alternativas que visam complementar esforços para redução dos aditivos tradicionais descritos anteriormente.
Uma destas alternativas seria um uso mais racional de volume de proteína dietética (PD) nos alimentos dos animais. Estudos demonstraram que a redução da PD da dieta de 18,5% para 16,5% reduz significativamente a incidência de diarreia em leitões desmamados (Marchetti et al., 2023). De acordo com o estudo, a presença de amônia, aminas e sulfeto de hidrogênio no intestino diminuíram linearmente quando os níveis de PD na dieta foram reduzidos (21%, 20%, 19%, 18%, 17% e 16%), e a incidência de diarreia foi significativamente reduzida em leitões desmamados.
Sob infecção por E. coli (Figura 01), os leitões desmamados alimentados com dietas contendo 25,6% e 17,5% de PD tiveram incidências de diarreia de 44,6% e 31,5%, respectivamente, e na ausência de infecção por E. coli, os mesmos leitões tiveram incidências de diarreia de 19,6% e 8,3. %, respectivamente.
Uma outra estratégia, introduzida recentemente, para reduzir os quadros de disbioses intestinais refere-se a melhor fermentação de fibras naturalmente presentes nas dietas a base de milho e farelo de soja (além de outros ingredientes), em especial quanto ao uso de xilo-oligossacarídeo (XOS) produzido através da ação das enzimas de xilanases (XYL) do substrato fibroso. Este XOS é capaz de atuar como um prebiótico para aumentar os metabólitos da fermentação ideais no trato intestinal de leitões, em especial nesta fase sensível pós desmame. A junção destes dois aditivos com características especialmente formuladas, é capaz de gerar uma classe nova de produto, denominado de Estimbiótico.
O conceito de Estimbiótico (STB), foi recentemente introduzido como um aditivo não digerível, porém fermentável que pode melhorar a utilização destes compostos por um microbioma degradante da fibra (González-Ortiz et al., 2020). Os autores relataram que o STB pode melhorar o desempenho do animal além da produção de ácidos graxos de cadeia curta (SCFAs). Da mesma forma, a suplementação de STB pode estimular a fermentação da fibra alimentar, diminuindo assim a viscosidade da digesta e melhorando a utilização de energia. Estes
efeitos determinam uma melhora na integridade da barreira intestinal e na redução do estresse oxidativo.
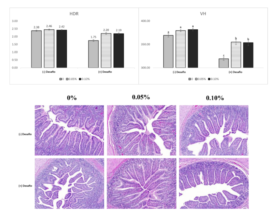
Desta forma, a suplementação de STB poderia atenuar a extensão da perda de desempenho e da resposta inflamatória causada por PWD induzida por desafio ETEC. Para avaliar esta hipótese um experimento (Song et al., 2022) foi conduzido na Chungbuk National University, na Corea do Sul, utilizando 36 leitões machos desmamados com peso corporal inicial de 8,49 ± 0,10 kg. O período experimental foi de 3 semanas. O experimento foi conduzido em arranjo fatorial 2 x 3 (com seis repetições/tratamento), sendo os tratamentos constituídos por dois níveis de desafio (leitões desafios e não desafios com ETEC) e três níveis de STB (0, 0,5 e 1 g/kg de dieta).
Os resultados de desempenho estão apresentados na Tabela 1, porém de forma geral, as suplementações STB 0,5 g/kg (STB5) e STB 1 g/kg (STB10) no alimento de leitões melhoraram a eficiência alimentar (P = 0,04) e (P = 0,001) na semana 2 e 3, respectivamente.
Tabela 1. Efeito da suplementação do aditivo estimbiótico sobre a eficiência alimentar de leitões desafiados com E. coli ETEC.
Fonte: Song et al. (2022)
Da mesma forma, a suplementação de STB, também diminuiu (P<0,05) os glóbulos brancos, neutrófilos, linfócitos e níveis de expressão do fator de necrose tumoral alfa e interleucina-6. As suplementações de STB5 e STB10 também melhoraram a relação altura das vilosidades/profundidade das criptas (P<0,01) em leitões desafiados com ETEC (Figura 2), e a suplementação com STB reduziu (P<0,05) os níveis de expressão de calprotectina (marcados de inflamação intestinal).
Estes resultados coincidem com outros achados que observamos em clientes latino-americanos onde ao utilizar o aditivo STB como uma estratégia de redução, ou até mesmo de eliminação total de óxido de zinco na dieta. Em um estudo realizado em 2023 no Chile, geramos resultados semelhantes (P>0,05) em termos de performance (se comparado os tratamentos com óxido de zinco versus STB), além de uma manutenção da qualidade intestinal (Tabela 2), porém com um custo de leitões aproximadamente U$ 0,80/animal inferior para o grupo STB.
Mesmo que todas estas abordagens representem fatores notáveis para o combate à PWD e a persistência ambiental de E. coli ETEC; seu controle, uma vez instalado, deve passar por outros estratégias. Inúmeras pesquisas dão conta de que a solução passará por usos de estratégias envolvendo características multifatoriais, como: redução de uso de proteína bruta nas dietas, uso de ácidos orgânicos, óleos essenciais, extratos polifenólicos, uso de peptídeos com efeitos antimicrobianos, terapia de anticorpos, entre outras estratégias.
Tabela 2. Efeito da suplementação do aditivo estimbiótico versus óxido de zinco na sobre a densidade bacteriana e biomarcadores de saúde intestinal de leitões aos 21 dias após o desmame.
Onde : ¹Parte do Gut Health Service Reporte de AB Vista. ²Tratamento onde os leitões consumiram 3200 e 2800 ppm de zinco (base óxido) na primeira semana e segunda/terceira semanas após a desmama, respectivamente. ³Tratamento onde os animais não receberam nenhum nível de zinco (base óxido), porém os alimentos foram suplementados com o STB Signis na dose de 150 gr/t nas primeiras três semanas após o desmame. Fonte: AB Vista (2024).
De igual maneira, a AB Vista acredita que o incremento de fermentação da Fibra Dietética no cólon dos animais com uso de Aditivos Estimbióticos são ferramentas importantes para auxiliar este controle e com uma vantagem extra, baixo custo de investimento.
Se necessitarem de mais detalhes sobre os dados acima, por favor, entre em contato com um representante de AB Vista, estaremos sempre a disposição.
Contato:
Entre em contato conosco através do formulário